네이버톡톡
카톡상담
유튜브

top
TOP
상담이 필요하신가요?
0%
Anyang Central Dental Clinic

sub5 의 의 의 Anyang Central Dental Clinic
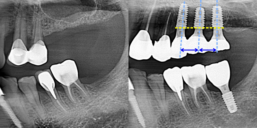
정확한 위치, 각도, 깊이로 임플란트 식립 
안전하고 예측 가능한 결과를 만듭니다.
안양센트럴치과
가이드 임플란트에 진심입니다.
가이드 임플란트로 정확한 위치에 식립
임플란트의 위치·각도·깊이를 사방에서 잡아주는
환자 맞춤형 가이드 장치를 사용합니다.
계획한 그대로 정확한 위치, 각도, 간격으로 임플란트를 식립합니다.
0.2mm 까지 컨트롤하는 차원이 다른 정확함
달걀껍질 두께인 약 0.2mm까지 조절해서 식립하는 차원이 다른 정확함
유튜브 바로가기 →
정확한 자리에 심은 임플란트가 오래갑니다.
정확한 자리에 심은 임플란트는 씹는 힘이 고르게 잘 전달됩니다.
양치와 관리도 쉬워 주변 잇몸뼈가 오래 건강하게 유지됩니다.
가이드 임플란트 이미지
임플란트 보철보철과 전문의전문입니다.
1
디지털 임플란트 보철 분야에서 다수의 논문, 학회발표 경험
2
대학병원 외래교수 출신의 보철과 전문의
가이드 임플란트는 누가 계획하고 식립하는지에 따라 결과가 천차만별입니다. 
보철과 외래교수 출신의 전문의 대표원장이 직접 계획하고 임플란트를 식립합니다.
전체 임플란트, 다수 임플란트에서 좋습니다.
심어야될 임플란트 숫자가 많으면
정확한 위치에 심기가 더 어렵습니다.

가이드 임플란트를 사용하면  여러 개를
동시에 식립할 때도 정확한 식립이 가능합니다. 
계획이 만드는 차별화된 결과
센트럴 가이드 임플란트 프로그램
CT와 구강스캔 데이터를 결합해 신경·혈관·상악동을 확인하고,
모의수술과 가이드를 통해 계획한 각도·깊이·축을 그대로 구현합니다.

“내게 맞춘 식립 위치, 예측 가능한 보철 완성”
Anyang Central Dental Clinic
, 정확함에 머무는 약속
센트럴 포지셔닝

중앙(센터)에 정확히 심어야
임플란트의 장기 안정성이 높아집니다.

보철과 전문의 설계

교합·심미·유지관리까지 고려한
대표원장의 가이드 디자인.

디지털 시뮬레이션

3Shape Implant Studio로
각도·깊이·회전을 사전에 검증합니다.

안전 우선 원칙

신경·상악동 등 해부학 구조를 피하고
뼈 상태에 맞춰 계획합니다.

케이스별 맞춤

치아 결손 위치, 교합, 생활 습관을 반영해
개인별 플랜을 제시합니다.

장기 유지관리

정기 점검·클리닝·교합 체크로
오래 사용할 수 있도록 돕습니다.

Anyang Central Dental Clinic
가이드 임플란트 수술 후 관리
  • ✔︎ 수술 당일은 얼음찜질로 부종을 관리해주세요. (10분 적용/10분 휴식)
  • ✔︎ 처방 약은 안내에 따라 복용하고 임의로 중단하지 마세요.
  • ✔︎ 부드러운 칫솔로 수술 부위를 조심스럽게 양치하고, 세정액 사용은 지시에 따릅니다.
  • ✔︎ 1주일 정도는 딱딱하고 질긴 음식, 뜨겁고 자극적인 음식은 피해주세요.
  • ✔︎ 사우나·찜질·격한 운동은 부기·출혈을 유발할 수 있어 일정 기간 피합니다.
  • ✔︎ 음주·흡연은 최소 1~2주간 삼가주세요. 회복이 지연될 수 있습니다.
  • ✔︎ 실밥 제거 및 경과 확인 일정은 꼭 지켜주세요.
  • ✔︎ 통증·출혈·부종 악화 등 이상 시 즉시 내원 또는 연락 바랍니다.
편하게 오셔도 괜찮습니다.
천천히 오셔도 됩니다.
안양센트럴치과는 늘 당신을 기다립니다.
경기도 안양시 만안구 안양로 285번지 3층 주소 복사
(올포유건물 3층 / 안양1번가 신한은행 건너편)
031-360-2808
HOURS 진료시간 안내
진료안내
월          목   
오전 12:00 - 오후 21:00
(저녁시간  
오전 17:00 - 오후 18:30)

화    수   금   
오전 10:00 - 오후 19:00
(점심시간  
오전 12:30 - 오후 14:00)

토   요   일    
오전 10:00 - 오후 14:00
(점심시간 없음)
PARKING 주차안내
오시는 길
에버덴호텔 주차장 이용 (병원 옆 건물)
주차장 진입로: 중앙당약국 옆 길
[HOTEL] 이라고 써있는 곳으로 들어오세요.
주차요금: 2시간 무료

카카오
지도
구글
지도
로고

로그인

로그인 후 이용해주세요.